
The Digest:
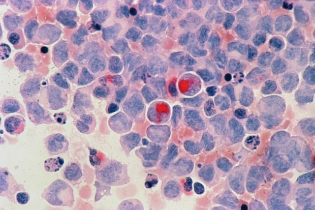
On World Cancer Day, a Daily Trust investigation reveals that many Nigerian cancer patients are abandoning life-saving orthodox treatment for herbal remedies due to unaffordable medical costs. Patients and survivors detail how expenses for chemotherapy, radiotherapy, and travel for care have depleted their finances, forcing desperate choices. Health experts confirm the crisis, citing a severe national shortage with only about ten functional radiotherapy machines and a critical deficit of oncologists, which drives late-stage diagnosis and poor survival rates.
Key Points:
- The high cost of treatment creates an impossible choice for patients, effectively rationing care by wealth and pushing many toward unproven alternatives.
- This financial barrier exacerbates public health outcomes, contributing to Nigeria's high annual cancer mortality rate of approximately 70,000 deaths.
- The systemic failure highlights a critical gap in health infrastructure and social safety nets, leaving vulnerable citizens without support.
- The abandonment of a multi-billion naira cancer centre in Abuja symbolizes broader institutional challenges in translating public initiatives into tangible care.
- The reliance on personal networks and NGOs for funding underscores the state's limited role in mitigating healthcare catastrophes for ordinary citizens.
Addressing Nigeria's cancer crisis requires systemic investment in affordable treatment, early detection programs, and the operationalization of dormant health infrastructure to prevent needless deaths.
Sources: Daily Trust.